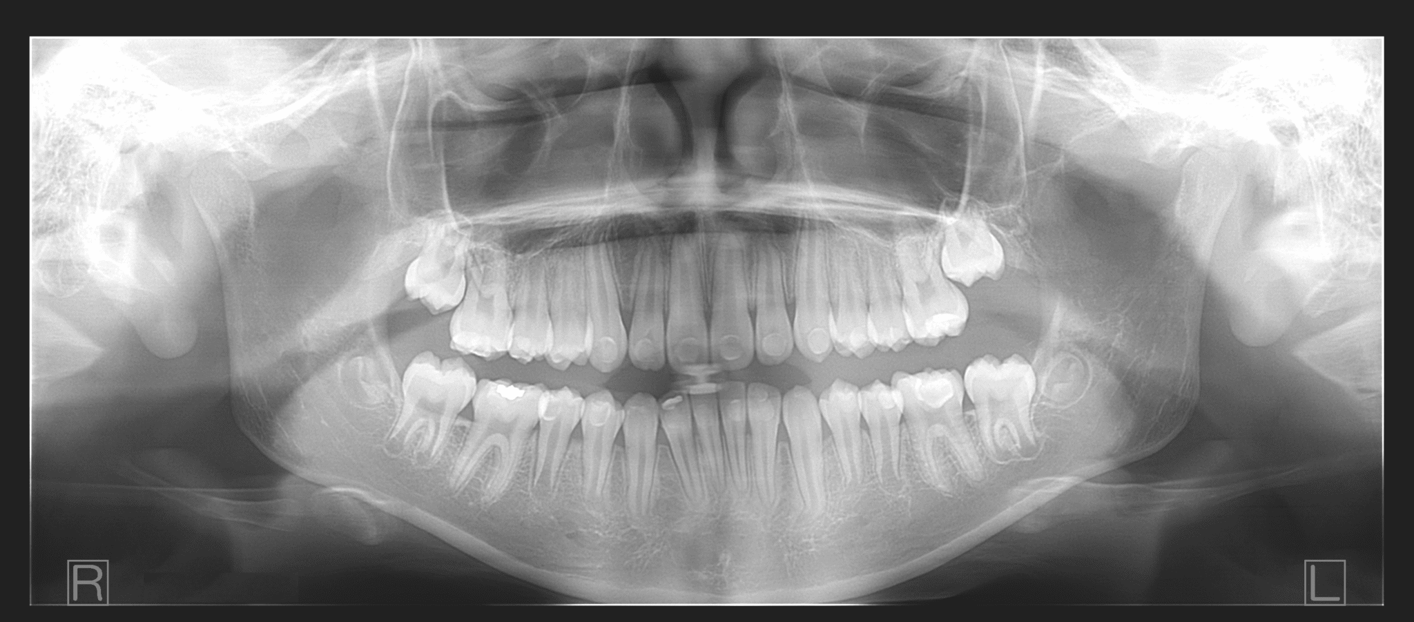
Dental Imaging Ocean Grove . Radius has increased services in the bellarine with a new site opening in ocean grove on monday 4th december. we offer a wide range of diagnostic imaging services as well as musculoskeletal procedures performed under imaging. ocean grove dental clinic has been proudly servicing our beautiful community for over 20 years, providing gentle, personalized and professional dental care. They may be used to assess: Missing, crowded or abnormal teeth. At lake imaging, we offer a number of. 8/10 coastal boulevard, ocean grove vic 3226, australia. radius ocean grove. Lake imaging, make an appointment online or call our dedicated bookings line at our ocean grove location.
from bookradiology.com
They may be used to assess: radius ocean grove. At lake imaging, we offer a number of. Radius has increased services in the bellarine with a new site opening in ocean grove on monday 4th december. Lake imaging, make an appointment online or call our dedicated bookings line at our ocean grove location. we offer a wide range of diagnostic imaging services as well as musculoskeletal procedures performed under imaging. ocean grove dental clinic has been proudly servicing our beautiful community for over 20 years, providing gentle, personalized and professional dental care. 8/10 coastal boulevard, ocean grove vic 3226, australia. Missing, crowded or abnormal teeth.
Dental Imaging Book Radiology
Dental Imaging Ocean Grove Radius has increased services in the bellarine with a new site opening in ocean grove on monday 4th december. Radius has increased services in the bellarine with a new site opening in ocean grove on monday 4th december. ocean grove dental clinic has been proudly servicing our beautiful community for over 20 years, providing gentle, personalized and professional dental care. Missing, crowded or abnormal teeth. 8/10 coastal boulevard, ocean grove vic 3226, australia. They may be used to assess: At lake imaging, we offer a number of. Lake imaging, make an appointment online or call our dedicated bookings line at our ocean grove location. radius ocean grove. we offer a wide range of diagnostic imaging services as well as musculoskeletal procedures performed under imaging.
From oceandental.co.in
Treatments Archive Ocean Dental Best Dentist in Vadodara Dental Imaging Ocean Grove They may be used to assess: At lake imaging, we offer a number of. Lake imaging, make an appointment online or call our dedicated bookings line at our ocean grove location. ocean grove dental clinic has been proudly servicing our beautiful community for over 20 years, providing gentle, personalized and professional dental care. 8/10 coastal boulevard, ocean grove. Dental Imaging Ocean Grove.
From www.yellowpages.com.au
Ocean Grove Dental Clinic Dentist 84 Orton St, Ocean Grove VIC 3226 Dental Imaging Ocean Grove we offer a wide range of diagnostic imaging services as well as musculoskeletal procedures performed under imaging. They may be used to assess: radius ocean grove. 8/10 coastal boulevard, ocean grove vic 3226, australia. Missing, crowded or abnormal teeth. At lake imaging, we offer a number of. Radius has increased services in the bellarine with a new. Dental Imaging Ocean Grove.
From radiologyimagingsolutions.com
ImageWorks Dental CBCT and Panoramic XRay System Radiology Imaging Dental Imaging Ocean Grove At lake imaging, we offer a number of. Lake imaging, make an appointment online or call our dedicated bookings line at our ocean grove location. They may be used to assess: radius ocean grove. Missing, crowded or abnormal teeth. we offer a wide range of diagnostic imaging services as well as musculoskeletal procedures performed under imaging. Radius has. Dental Imaging Ocean Grove.
From www.paradedentaloceangrove.com.au
Dentist Ocean Grove Ocean Grove Dental Clinic Parade Dental Ocean Grove Dental Imaging Ocean Grove Radius has increased services in the bellarine with a new site opening in ocean grove on monday 4th december. They may be used to assess: ocean grove dental clinic has been proudly servicing our beautiful community for over 20 years, providing gentle, personalized and professional dental care. Missing, crowded or abnormal teeth. we offer a wide range of. Dental Imaging Ocean Grove.
From www.alondradental.com
3D Imaging Dentistry in Norwalk, CA Alondra Dental Care Dental Imaging Ocean Grove we offer a wide range of diagnostic imaging services as well as musculoskeletal procedures performed under imaging. Radius has increased services in the bellarine with a new site opening in ocean grove on monday 4th december. Lake imaging, make an appointment online or call our dedicated bookings line at our ocean grove location. 8/10 coastal boulevard, ocean grove. Dental Imaging Ocean Grove.
From oceangrovedental.com.au
Ocean Grove Dental Ocean Grove Dental Clinic Dental Imaging Ocean Grove At lake imaging, we offer a number of. Missing, crowded or abnormal teeth. Radius has increased services in the bellarine with a new site opening in ocean grove on monday 4th december. Lake imaging, make an appointment online or call our dedicated bookings line at our ocean grove location. we offer a wide range of diagnostic imaging services as. Dental Imaging Ocean Grove.
From firstchoicelab.com
Why You Should Go Digital with IOS Dentistry First Choice Dental Lab Dental Imaging Ocean Grove Radius has increased services in the bellarine with a new site opening in ocean grove on monday 4th december. ocean grove dental clinic has been proudly servicing our beautiful community for over 20 years, providing gentle, personalized and professional dental care. we offer a wide range of diagnostic imaging services as well as musculoskeletal procedures performed under imaging.. Dental Imaging Ocean Grove.
From www.australia247.info
Pacific Smiles Dental, Ocean Grove Kingston Village Square, Grubb Rd Dental Imaging Ocean Grove Radius has increased services in the bellarine with a new site opening in ocean grove on monday 4th december. 8/10 coastal boulevard, ocean grove vic 3226, australia. ocean grove dental clinic has been proudly servicing our beautiful community for over 20 years, providing gentle, personalized and professional dental care. Missing, crowded or abnormal teeth. radius ocean grove.. Dental Imaging Ocean Grove.
From myemail.constantcontact.com
Latest Innovations from the World of Dental Imaging Dental Imaging Ocean Grove They may be used to assess: we offer a wide range of diagnostic imaging services as well as musculoskeletal procedures performed under imaging. At lake imaging, we offer a number of. 8/10 coastal boulevard, ocean grove vic 3226, australia. radius ocean grove. ocean grove dental clinic has been proudly servicing our beautiful community for over 20. Dental Imaging Ocean Grove.
From www.paradedentaloceangrove.com.au
Contact Us Parade Dental Ocean Grove Dental Imaging Ocean Grove radius ocean grove. They may be used to assess: At lake imaging, we offer a number of. ocean grove dental clinic has been proudly servicing our beautiful community for over 20 years, providing gentle, personalized and professional dental care. Radius has increased services in the bellarine with a new site opening in ocean grove on monday 4th december.. Dental Imaging Ocean Grove.
From oceangrovedental.com.au
Ocean Grove Dental Clinic relaxed, professional service Dental Imaging Ocean Grove At lake imaging, we offer a number of. They may be used to assess: ocean grove dental clinic has been proudly servicing our beautiful community for over 20 years, providing gentle, personalized and professional dental care. Radius has increased services in the bellarine with a new site opening in ocean grove on monday 4th december. Lake imaging, make an. Dental Imaging Ocean Grove.
From inline.com.au
Dental Cone Beam CT/OPG/CEPH Dental Imaging Ocean Grove ocean grove dental clinic has been proudly servicing our beautiful community for over 20 years, providing gentle, personalized and professional dental care. radius ocean grove. Lake imaging, make an appointment online or call our dedicated bookings line at our ocean grove location. They may be used to assess: we offer a wide range of diagnostic imaging services. Dental Imaging Ocean Grove.
From www.facebook.com
Ocean Grove Dental Clinic Ocean Grove VIC Dental Imaging Ocean Grove ocean grove dental clinic has been proudly servicing our beautiful community for over 20 years, providing gentle, personalized and professional dental care. Missing, crowded or abnormal teeth. Radius has increased services in the bellarine with a new site opening in ocean grove on monday 4th december. we offer a wide range of diagnostic imaging services as well as. Dental Imaging Ocean Grove.
From www.paradedentaloceangrove.com.au
Dentist Ocean Grove Ocean Grove Dental Clinic Parade Dental Ocean Grove Dental Imaging Ocean Grove Lake imaging, make an appointment online or call our dedicated bookings line at our ocean grove location. At lake imaging, we offer a number of. we offer a wide range of diagnostic imaging services as well as musculoskeletal procedures performed under imaging. Missing, crowded or abnormal teeth. 8/10 coastal boulevard, ocean grove vic 3226, australia. Radius has increased. Dental Imaging Ocean Grove.
From www.pearldentalclinics.com
Panoramic Dental Imaging Dentist in Dubai Pearl Dental Clinic Dental Imaging Ocean Grove They may be used to assess: At lake imaging, we offer a number of. radius ocean grove. ocean grove dental clinic has been proudly servicing our beautiful community for over 20 years, providing gentle, personalized and professional dental care. Lake imaging, make an appointment online or call our dedicated bookings line at our ocean grove location. 8/10. Dental Imaging Ocean Grove.
From www.medwish.com
Dental Cone Beam CT SystemDental Imaging System Dental Imaging Ocean Grove Lake imaging, make an appointment online or call our dedicated bookings line at our ocean grove location. At lake imaging, we offer a number of. radius ocean grove. 8/10 coastal boulevard, ocean grove vic 3226, australia. They may be used to assess: Missing, crowded or abnormal teeth. we offer a wide range of diagnostic imaging services as. Dental Imaging Ocean Grove.
From oceangrovedental.com.au
Ocean Grove Dental Clinic relaxed, professional service Dental Imaging Ocean Grove Lake imaging, make an appointment online or call our dedicated bookings line at our ocean grove location. Radius has increased services in the bellarine with a new site opening in ocean grove on monday 4th december. radius ocean grove. At lake imaging, we offer a number of. 8/10 coastal boulevard, ocean grove vic 3226, australia. we offer. Dental Imaging Ocean Grove.
From oceangrovedental.com.au
Ocean Grove Dental Clinic relaxed, professional service Dental Imaging Ocean Grove At lake imaging, we offer a number of. They may be used to assess: 8/10 coastal boulevard, ocean grove vic 3226, australia. radius ocean grove. we offer a wide range of diagnostic imaging services as well as musculoskeletal procedures performed under imaging. Lake imaging, make an appointment online or call our dedicated bookings line at our ocean. Dental Imaging Ocean Grove.